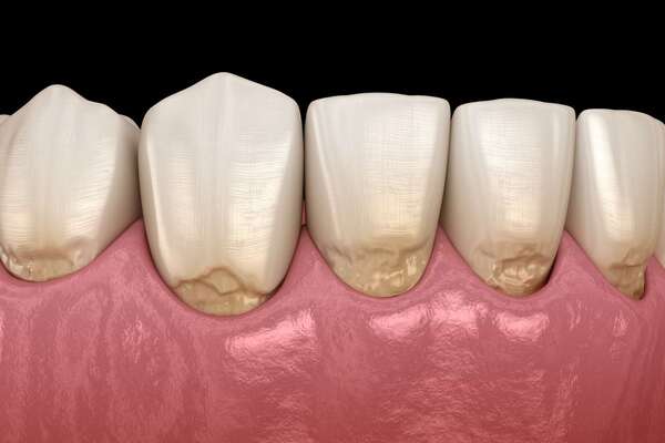
La mylolyse ou lésion cervicale d’usure se définit comme une perte de matière dentaire se localisant au collet de la dent.
Fiches conseils - Page 10
La bonne préparation d’une intervention dentaire vous permettra d’en obtenir les meilleurs résultats avec un minimum de désagréments.
Les interventions sont souvent suivies d’une gêne ou d’un inconfort. Des règles simples permettent de gérer au mieux les suites opératoires.
La réduction de la sécrétion salivaire se traduit par des sensations de picotements, de soif, une difficulté à mastiquer et à avaler.
Dans quels cas est-il nécessaire de procéder à une extraction dentaire et comment se déroule l’intervention ?
Une extraction est une opération courante et indolore, mais chacun veut éviter que l’on ne remarque cette dent absente dans son sourire.





